Smile Gallery
Smile Gallery
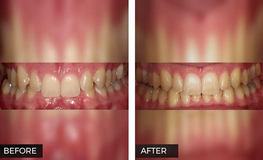
Explore our galleries of real dental transformations, which showcase the remarkable results our patients have achieved. These before-and-after photos illustrate the life-changing impact of modern cosmetic and restorative dentistry, from subtle enhancements to complete smile makeovers.
Each image represents a unique patient journey and the personalized care that helped them achieve their dream smile.
Invisalign
Dentures and Partials
Teeth Whitening
Crowns
Veneers
Digital Smile Makeovers
Bonding
Transform Your Smile with Proven Results
The before-and-after photos you see in these galleries are of real patients who trusted Keen Smiles with their dental care. The transformations showcase the range of treatments available to address various cosmetic and functional concerns, from discolored or chipped teeth to gaps, misalignment, and missing teeth.
What to Expect from Your Transformation
Reviewing before-and-after photos helps set realistic expectations for your own dental journey. While every patient’s results vary based on their starting point and chosen treatment, these images demonstrate the quality of care and attention to detail you can expect.
The transformation process typically begins with a consultation to assess your oral health, discuss your aesthetic goals, and recommend appropriate treatments. Some patients combine multiple procedures to achieve comprehensive results. Our experienced dental team will work with you to develop a personalized treatment plan tailored to your specific needs and goals.
Ready to schedule your next visit?
Call 417-708-0556 or schedule online to book your next appointment.
Schedule Appointment